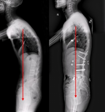
强直性脊柱炎会驼背?为什么
眼睛发红、乏力、发热应该注
我和我的小伙伴惊呆了!!!6成
强直性脊柱炎为什么会引起脊
强直性脊柱炎会不会损害心血
强直性脊柱炎会对心、肺造成
强直性脊柱炎的高发年龄是什
强直性脊柱炎多会并发中耳炎
临床诊疗医生在线解答·患者关注问题 在线咨询 >
- 成都强直医院哪家专业?强直
- 成都治疗强直医院:强直性脊
- 强直会有哪些危害出现
- 强直会有哪5大危害要注意防
- 强直的危害和症状有哪些
- 强直性脊柱炎能引起发烧吗
- 成都强直医院医生解析:晚期
- 强直性脊柱炎对患者有什么样
- 自助挂号平台
- 远程会诊平台
- 救助申请平台
远程会诊申请表
注:本测试结果由我院多名风湿科医生共同会诊,填写完毕后,请您耐心等候回电! 信息的真实性关系到医生的会诊结果,请您对照患者情况如实填写!
四川省慈善总会
风湿患者生活救助项目申请平台
本救助项目对痛风、类风湿性关节炎、强直性脊柱炎、风湿性关节炎、感染性关节炎、骨性关节炎、反应性关节炎、风湿热等主要风湿疾病的贫困风湿患者给予一次性生活救助。
申请须知
救助额度根据患者实际情况实行限额救助,具体比例为:
1、对“精准扶贫”建卡贫困户风湿免疫性疾病患者,生活救助金统一为1000元。
2、对家庭五保户或丧失劳动能力家庭风湿免疫性疾病患者,生活救助金为2000元。
3、对没有参加各类医疗保险,有低保证、残疾证等证明文件,但不属于“精准扶贫”建卡贫困户的困难家庭风湿免疫性疾病患者,生活救助金为1000元;
4、对已参加各类医疗保险,诊疗疾病属于报销范围的困难家庭风湿免疫性疾病患者,生活救助金为500元。











